MyLab™ E80 je pokročilá ultrazvuková platforma navržená pro maximální přesnost a spolehlivost při vyšetřeních.
Díky intuitivnímu ovládání, automatizaci a funkcím umělé inteligence poskytuje bezkonkurenční úroveň odborné péče a konzistentní výsledky v každém klinickém prostředí.
| Popis | |
|---|---|
| 💻 | 24palcový monitor OPTI-LIGHT BARCO* Nejnovější technologie LCD monitorů zajišťující vynikající vylepšení detailů. |
| 💡 | OPTI-LIGHT Optimální pracovní prostředí díky integrovaným funkcím osvětlení. |
| 📱 | ULTRAŠIROKÝ 15,6″ DOTYKOVÝ DISPLEJ Ergonomické ovládání s naklápěcím 15,6palcovým dotykovým displejem. |
| ⚙️ | 2 KONFIGURACE OVLÁDACÍCH PANELŮ Dvě různé možnosti rozhraní – konvenční nebo omyvatelné, které se hodí pro jakýkoli styl práce. |
| 🔌 | 5 AKTIVNÍCH KONEKTORŮ Pět konektorů pro snímače umožňuje okamžité přepínání sond v rychle se měnících klinických podmínkách. |
| 🔋 | PODPORA BATERIE* Rychlé spuštění a více než hodina plného výkonu skenování při provozu systému na baterii. |
| 🛡️ | 3 ROKY ZÁRUKY Základní ochrana pro bezpečné fungování vaší investice. |
Rozšiřte své odborné znalosti
MyLab™ E80 posouvá kvalitu ultrazvukové diagnostiky na novou úroveň.
Díky řešením s umělou inteligencí (A.I.) zajišťuje konzistentní výsledky napříč operátory a zjednodušuje každodenní práci.
Pokročilé technologie ClearWave, XBeamforming a XSmart Postprocessing přinášejí špičkový obraz, spolehlivost a efektivitu, kterou lékaři potřebují při každém vyšetření.
Vyníkájicí povrchové zobrazování
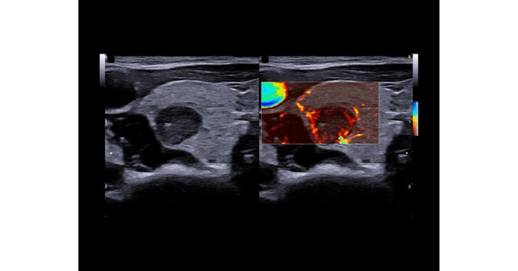
Naše pokročilé Dopplerovy technologie, včetně Power Doppler a microV, poskytují mimořádnou citlivost a špičkovou kvalitu zobrazení průtoku krve – od velkých cév a tepen až po jemnou mikrovaskularizaci.
Díky dlouholetým zkušenostem s výrobou sond jsme vyvinuli novou, vysoce frekvenční sondu typu „hokejka“ (IHX 6-25). Ta nabízí výjimečné prostorové rozlišení a díky ergonomickému designu usnadňuje přístup jehlou při přesných intervenčních výkonech s milimetrovou přesností.


Kompletní přístup k péči o játra
MyLab™ E80 integruje komplexní balíček pokročilých funkcí, včetně technologií QElaXto 2D a QAI, které usnadňují sledování závažných onemocnění jater, jako jsou fibróza či steatóza.
Všechna hodnocení jsou navíc automaticky zpracována do specializované zprávy, která prezentuje data pomocí sloupcových nebo pavučích grafů.
Intervenční postupy jsou zefektivněny díky nástrojům, které zvyšují jistotu a přesnost při zákrocích.
Technologie CnTI™ zlepšuje charakterizaci lézí, zatímco software Virtual Navigator umožňuje multimodální zobrazování s jednoduchým pracovním postupem, včetně automatizovaných funkcí, jako je registrace 3D kamery.


Zefektivněná vyšetření pro zdraví žen
MyLab™ E80 poskytuje vynikající kvalitu obrazu díky speciálním vysokofrekvenčním konvexním sondám.
Komplexní balíček funkcí založený na umělé inteligenci usnadňuje pracovní postup od pořízení obrazu až po standardizovaná měření.
Funkce BrightFlow s 3D zobrazením umožňuje snadnější a rychlejší vizualizaci hemodynamiky.
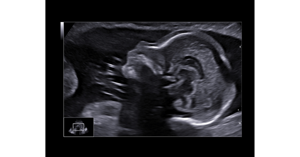
Upřednostňujeme kvalitu našeho 3D/4D zobrazování, abychom dosáhli mimořádně detailního zobrazení anatomických struktur.
Technologie XLight s realistickými difuzními efekty a stíny zvýrazňuje anatomické detaily obličeje plodu, zatímco XGlass vytváří velmi působivý efekt průhlednosti.
TSI technologie je ideální pro zobrazení kostí a měkkých tkání a XSTIC zlepšuje vizualizaci srdce plodu.


Zaměření na rozšířený urologický balíček
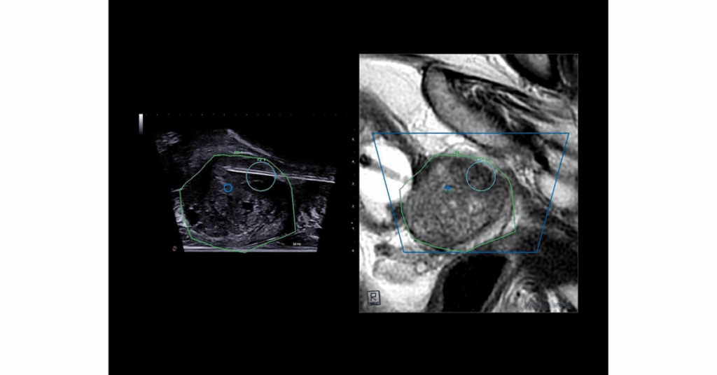
Systém UroFusion, nejmodernější řešení pro fúzní zobrazování od společnosti Esaote, je navržen pro cílené biopsie prostaty.
Díky tomuto řešení můžete dosáhnout vyšší úrovně jednoduchosti a přesnosti při vyšetřeních.
Technologie Augmented Insight™ (A.I.) optimalizuje efektivitu pracovního postupu prostřednictvím automatizované segmentace a synchronizace MR a ultrazvuku v reálném čase.
Kromě toho UroFusion umožňuje segmentaci prostaty pro přesnější mapování systematických biopsií.
MyLab™ E80 rozšiřuje možnosti urologického balíčku díky kompatibilitě s různými steppery pro intervenční transperineální procedury, které lze snadno integrovat do prostředí UroFusion.


Poskytování pokročilého kardiovaskulárního balíčku
Komplexní balíček pro vyšetření deformace pomáhá při diagnostice a léčbě různých srdečních onemocnění, jako jsou ischemie myokardu, kardiomyopatie či srdeční selhání.
Zjednodušený pracovní postup s automatickým hodnocením levé komory pomocí umělé inteligence umožňuje rychlé a přesné vyhodnocení deformace myokardu v levé komoře, pravé komoře i levé síni.
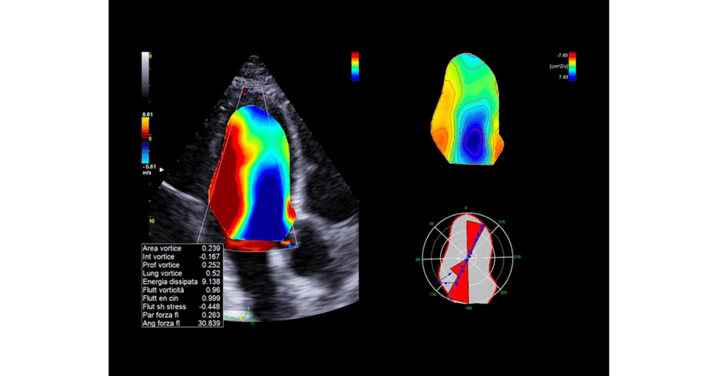
Technologie HyperDoppler, dostupná v systému MyLab™ E80, představuje významný pokrok v hodnocení dynamiky průtoku a analýze vektorů rychlosti s různými směry a amplitudami.
Díky exkluzivnímu zobrazení toku a pohybu tekutin v levé komoře poskytuje HyperDoppler hlubší diagnostický vhled a napomáhá lepšímu pochopení srdeční funkce.


Vyberte si zjednodušenou interakci
MyLab™ E80 nabízí dvě intuitivní rozhraní přizpůsobená různým pracovním prostředím.
Můžete zvolit konvenční ovládací panel pro maximální efektivitu, nebo moderní dotykové rozhraní pro rychlé a čisté ovládání.
Obě varianty poskytují přímý přístup ke klíčovým funkcím a zaručují pohodlí při každém vyšetření.
✅ Hlavní výhody
- Inovativní design
- Snadné čištění
- Dlouhá životnost
- Odolnost vůči korozivním látkám
- Inteligentní touchpad a pohodlné ovládání

Nechte Augmented Insight™ pomáhat s reprodukovatelností

MyLab™ E80 využívá sílu umělé inteligence ke snížení variability mezi operátory a k zajištění konzistentních výsledků při každém vyšetření.
Díky technologiím Augmented Insight™ jsou protokoly zjednodušeny a optimalizovány tak, aby poskytovaly přesné a důvěryhodné informace v reálném čase.
Tyto pokročilé funkce zrychlují pracovní postup a podporují jistotu i efektivitu lékařů v klinické praxi.
Získejte klid v duši
Se systémem MyLab™ E80 se společnost Esaote snaží nabídnout přidanou hodnotu, která přesahuje počáteční investici.
MyLab™ E80 navíc kombinuje špičkovou technologii s praktickými funkcemi, které zjednodušují práci lékařů a zajišťují spolehlivý provoz v každém zdravotnickém prostředí.
Systém umožňuje vzdálenou spolupráci, sdílení dat i bezpečné ukládání záznamů v reálném čase.
Ať už jste menší nemocnice, klinika nebo soukromý specialista, MyLab™ E80 vám přináší efektivitu, přesnost a jistotu, že používáte jedno z nejmodernějších ultrazvukových řešení na trhu.




